1. Diễn đàn SEO chất lượng, rao vặt miễn phí có PA, DA cao: chuanmen.edu.vn | okmen.edu.vn
    Dismiss Notice
  2. Hiện tại diễn đàn không cho phép đăng các thông tin về game bài cờ bạc theo yêu cầu của VNNIC mong các bạn thông cảm!
    Dismiss Notice

Bệnh viêm lợi ở trẻ em có nguy hiểm không?



NHÀ TÀI TRỢ CHÍNH:

* diễn đàn SEO miễn phí
* Lắp cửa tự động – Cửa cổng tự động châu âu bảo hành 3 năm
* Công ty lắp đặt Cửa Tự Động, Cổng Tự Động tại thành phố Hồ Chí Minh
* Thi công lắp đặt cổng tự động tại hcm
* Đại lý cửa tự động tại Tp. Hồ Chí Minh nhập khẩu chính hãng
Hiện tại diễn đàn không cho phép đăng các thông tin về game bài cờ bạc theo yêu cầu của VNNIC mong các bạn thông cảm!

Thảo luận trong 'Rao Vặt Khác' bắt đầu bởi marcoexo05, 16/5/17.

  1. marcoexo05
    Offline

    marcoexo05 admin

    (Website tài trợ bởi: cong tu dong)
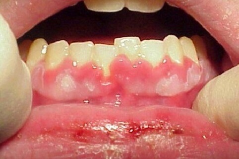
    Viêm lợi là tình trạng nhiễm trùng cấp tính do virus Herpes hominis. Nguyên nhân trực tiếp của bệnh viêm lợi là mảng bám hình thành trên răng. Nếu mảng bám không được làm sạch đúng mức bằng cách đánh răng và dùng chỉ nha khoa hàng ngày, nó sẽ tạo ra độc tố kích thích mô nướu gây viêm lợi.

    Như vậy, nguyên nhân chủ yếu gây ra viêm lợi ở trẻ là do trẻ vệ sinh răng miệng không tốt dẫn đến tình trạng tích tụ chất bẩn và vi khuẩn quanh răng, đặc biệt là ở khe nướu.
    [​IMG]

    Viêm lợi là một bệnh rất thường gặp ở trẻ em do nhiễm trùng những mô mềm xung quanh nâng đỡ cho răng. Nếu nướu của trẻ bị sưng và chảy máu khi chải răng, trẻ có thể bị viêm lợi. Phát hiện sớm những triệu chứng của bệnh sẽ giúp hỗ trợ điều trị một cách có hiệu quả hơn.
    2. Triệu chứng nhận biết bệnh viêm lợi ở trẻ em

    Bệnh viêm lợi thường thấy trên trẻ 2 – 5 tuổi, tuy nhiên cũng có trên trẻ lớn hơn. Một vài dấu hiệu giúp bạn dễ dàng nhận biết như:

    + Trẻ sốt, nhức đầu, suy nhược, đau miệng, khó nuốt và nổi hạch cổ.

    + Nướu của trẻ bình thường màu hồng, khi bị viêm lợi, tùy theo mức độ nhẹ thì nướu trẻ sẽ có dấu hiệu bị ửng đỏ, sưng phồng, nặng hơn, nướu của trẻ có dấu hiệu bị sưng đỏ và tấy.

    + Xuất hiện các mụn nước trên lợi, lưỡi, môi, má và khẩu cái. Mụn nước màu xám, đột ngột vỡ ra sau vài giờ và để lại vết loét màu vàng nhạt rất đau, để lại sẹo.

    + Ở mức cao hơn có thể thấy trẻ dễ bị chảy máu nướu răng khi chạm phải hay chảy máu tự nhiên.

    + Miệng trẻ có mùi hôi, hơi thở của trẻ có mùi khó chịu khi có mủ giữa răng và nướu răng.

    + Ngoài ra, khi trẻ có biểu hiện ăn ít, bỏ ăn do đau nướu hay khi trẻ đánh răng rất dễ bị chảy máu răng và nướu của trẻ có thể đau khi đánh răng cũng là dấu hiệu của bệnh viêm lợi.

    Khi trẻ có những tiền triệu chứng như sốt, quấy khóc, bỏ ăn và đau miệng khó nuốt. Nên đưa trẻ đến khám tại phòng khám nha khoa sớm để phát hiện và hỗ trợ điều trị kịp thời tránh kéo dài sự đau, khó chịu cho trẻ.
    3. Biện pháp phòng chống bệnh viêm lợi ở trẻ

    – Đối với trẻ nhỏ còn bú sữa thì ngay sau khi cho trẻ bú xong, nên dùng gạc cuốn đầu ngón tay và làm sạch khoang miệng cho trẻ, động tác cần làm nhẹ nhàng tránh gây buồn nôn dẫn đến nôn, trớ.

    – Đối với những trẻ lớn hơn, có thể cho trẻ súc miệng và tập thói quen đánh răng hàng ngày ngay sau khi ăn, hoặc 2 lần/ngày vào buổi sáng khi ngủ dậy và tối trước khi đi ngủ.
    http://chuadaurangsau.blogspot.com/2017/05/benh-viem-loi-o-tre-em-co-nguy-hiem.html
     

    Nguồn: batdongsan24h.edu.vn

Chia sẻ trang này